Wir bedanken uns, dass auch Baki geröntgt wurde. Wie nicht anders erwartet ist Baki frei von Hüftgelenksdysplasie: A1!
Mehr zu Baki bei working dog hier

Fünf Tage vor dem errechneten Termin überraschte uns Hoka Hey heute mit 8 Welpen!
Wir senden ein herzliches Willkommen an die blonden und schwarzen Rüden und Hündinnen! (für schwarzmarkene war scheinbar nicht ausreichend Zeit).
Willkommen im Leben! Nera und Baki Eltern von 6 putzmunteren Welpen geworden. Wir freuen uns über 3 blonde und einen schwarzmarkenen Rüden sowie über 2 schwarzmarkene Hündinnen in Finnland.
Erfreuliche Nachrichten vom Hervester Hof: der Besuch von Hoka Hey vom Drachentöter am 9.2. trägt Früchte! Um Ostern herum können wir auf Baki-Kinder hoffen.
Baki hatte Besuch aus Finnland von der schönen Skywatch´s Moonlight Magic, genannt Nera. Und nun können wir uns wieder auf Baki-Kinder freuen Anfang April.
Baki wünscht ein fröhliches Jahr 2017!
Wir haben aus Finnland Nachricht bekommen, dass Skywatch´s Nightwish leider nicht aufgenommen hat. Schade.
Wieder neues Welpenglück! In der Nacht hat Diva vom Peetzsee die Wurfkiste mit 10 Welpen gefüllt (5 Hündinnen 4 s/1 sm, 5 Rüden 2sm/2 s/1 b).
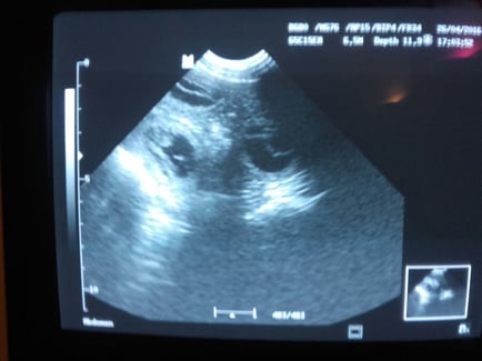
Es gibt wieder gute Neuigkeiten: Diva vom Peetzsee hat aufgenommen. 5 Kleine Winzlinge waren schon auf dem Ultraschallbild zu erkennen. Wir senden die besten Wünsche für eine komplikationslose Schwangerschaft nach Brandenburg, und hoffen auf Enkelchen von Baki & Diva um den 30. Juli.
Die internationale Zuchtgemeinschaft vom Silberdistelwald wächst ( hoffentlich). Baki hatte am 16./17. Juni Besuch von der fröhlichen, verspielten und allerliebsten Skywatch´s Nightwish, genannt Piina. Baki und Piina haben sich so gut verstanden, dass wir gespannt auf kleine Finnwarte Ende August warten dürfen.
Ein herzliches Willkommen den 9 wunderschönen holländischen "pupsen" (Welpen) von Baki und Haidy van de Bremmerstee. Oma Thaler freut sich über 3 blonde Hündinnen und 6 Rüden(3 b/3 sm).
Baki hatte Besuch von Diva vom Peetzsee. Wir hoffen auf Welpen Ende Juli in Brandenburg.
Richterbericht CAC Sannum
Offene Klasse vorzüglich 3
3,5jähriger sehr ansprechender typ. Rassevertreter sm, von v Gesamterscheinung, ausdr v prop Kopf, korr angesetzt sicher getr. Behänge gute Grösse, braune gut angesetzte Augen, kräftige Front, v in Haar und Farbe, dkl. Marken v Pigment, sehr schöne o und u Linie, v Knochenstärke, geschl.Pfoten, muskuläre Lendenpartie korr Winkelungen, id Bewegung kraftvoll jedoch elegant m kräftigem Schub aus der HH wird sg vorgestellt, ausgegl. Liebes sicheres Wesen. Scherengebiss
Baki hatte Besuch von der zauberhaften Haidy van de Bremmerstee aus den Niederlanden. 3 Minutenhaben sich die Beiden freudig begrüßt, einander für gut befunden und sich sofort verpaart. Baki war imAnschluss rechtschaffen zufrieden und tiefenentspannt. Wir hoffen auf weitere Enkelchen Mai/Anfang Juni.
Baki vom Silberdistelwald, Deckrüde der Region West (Bericht seiner Eva)
Eigentlich wollte ich nach dem Tod meiner Kira „nur“ wieder eine Hovawarthündin. Nach einigem Suchen waren auch die richtigen Züchter gefunden. Nur die ins Auge gefasste Hündin war schon vergeben… Was für ein Glück! Einen passenderen Hund als Baki hätte ich nicht finden können.
Baki vom Silberdistelwald wurde am 25.01.2013 als einer von 6 Geschwistern von Aysel vom Hof der Vielfalt und Booker Hali Gali geboren. Ganz ohne Planung und vorherige Zuchtambitionen entwickelte er sich fast von selbst zum Deckrüden.
Ich besuchte mit ihm die RZV -Welpenschule in Gummersbach. Seit dem Junghundealter trainieren wir wöchentlich auf dem HZD-Platz in Niederelvenich. Und dort hat er im Herbst 2015 seine Körung als Körsieger bestanden. Baki hat so viel Spaß an der Arbeit mit mir gezeigt, dass ein Trainingstag in der Woche zu wenig war. Seit einigen Monaten sind wir zusätzlich in der RZV Übungsgruppe Siebengebirge. Baki hat seine Begleithundeprüfung im Oktober 2015 absolviert. Seiner Nase nach geht er seit einem Jahr beim mantrailing. Zur Zuchtzulassung gehört bekanntlich ein zweimaliges Vorstellen auf einer Schau. Überraschend war für mich durch Baki zu erleben, dass es Freude macht an diesen mir bis dahin fremden Veranstaltungen mitzumachen. Der Titel BOB in Wetzlar 2015 war schon etwas ganz besonderes…
Baki ist mir von Anfang an ein freundlicher und verlässlicher Begleiter. Es erfüllt mich stets auf s neue mit Freude, dass er sich ausgesprochen gut mit anderen Hunden versteht. Unsere Ausflüge sind immer entspannt, weil er mit Hunden jeglichen Alters, Geschlechts und aller Rassen rücksichtvoll kommuniziert und ins Spiel findet.
Genauso freundlich und umgänglich wie zu Artgenossen ist er zu Menschen jeglicher Couleur. Es ist einfach schön einen Hund zu haben, mit dem man überall gerne gesehen ist. Im dicksten Getümmel genauso wie im Einzelkontakt besticht Baki immer wieder durch seine Souveränität und Ausgeglichenheit.
Für mich ist Baki der perfekte Gefährte. Gerne möchte ich ihm das Gartentörchen für interessierte, freundliche Hovawartmädchen öffnen.

Große Freude für unser Züchterherz: nachdem Baki seine Körung erfolgreich als Bester bestanden hat erfüllt er nunmehr alle Voraussetzungen als Deckrüde. Lediglich seine Eva benötigt noch ein wenig Theorie (Züchterschulung), bevor Baki offiziell der Hovawarthündinnenwelt zur Verfügung steht.
Als erster von Thalers Kindern hat Baki gestern die Begleithundeprüfung (BH/VT) bestanden. Auch wenn wir an diesem Erfolg weitestgehend unbeteiligt sind, sind wir "stolz wie Oskar". Herzlichen Glückwunsch!
Wenn die Mutter mit dem Sohne



Baki tummelt sich mal wieder in "arabischen Emiraten" (Hotelnachbau in Bremerhaven)

Baki ist zwischenzeitig zum emsigen mantrailer geworden. Hier wartet er geduldig auf seinen nächsten Einsatz...

